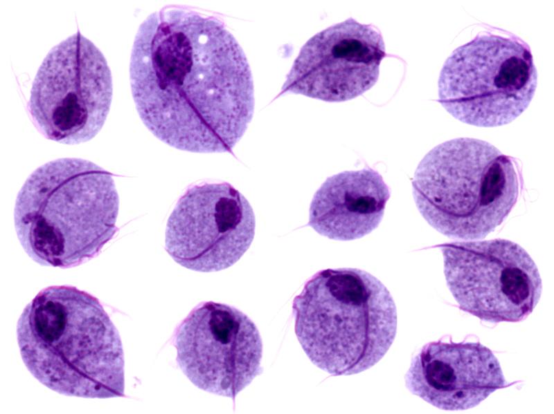
Діагностика по забарвленим препаратам має обмеження, оскільки T.vaginalis який завжди характерна класична форма зі джгутиками. Найчастіше найпростіше має округлу форму, може нагадувати лейкоцити з поліморфним ядром або епітеліальні клітини.

Інший, давно і успішно використовуваної методологією є - культуральне (бактеріологічне) дослідження, що вважається «золотим стандартом». Культуральний метод вивчення T.vaginalis. присвячені ґрунтовні роботи вітчизняних учених (Васильєв М.М., Беднова В.М., 1980; Беднова В.М.. Васильєв М.М., 1982, 1985; Васильєв М.М., 1990; ГасановаТ.А., 2002).Результати культурального дослідження легко інтерпретуються. Для діагностики потрібно всього лише від 300 до 500 трихомонад в 1 мл інокулята (Беднова В.М., Васильєв М.М., 1985;

Існують, проте, внутрішньо обумовлені обмеження використання культуральної технології. Головним є часовий фактор. Для проведення культурального дослідження необхідна наявність у лабораторії відділення бактеріології, якісних поживних середовищ, що також є значною проблемою, яка потребує відповідної кваліфікації медичного персоналу та дотримання правил взяття матеріалу й його культивування. При цьому важливо не лише дотримати «посівну дозу», а й правильно «вести» культуру.Встановлені ЦКВІ терміни перегляду культури на 3–5, 7–9, 11–17 день культивування (Посібник для лікарів «Лабораторна діагностика урогенітального трихомоніазу», 1997) навряд чи можна сьогодні вважати законодавчими (незмінними), оскільки нерідко вдається виявити вагінальні трихомонади вже через 24 годиникультивування, а через 48–96 годин особини можуть втратити рухливість, округлитися, збільшитися в розмірі, і, як наслідок, у нативному препараті вже не можуть бути ідентифіковані за характерними морфологічними ознаками: наявністю типових поштовхоподібних, повільних рухів із викиданням джгутиків і характерним рухом ундулируючої мембрани.Водночас при культивуванні матеріалу з прямої кишки T. vaginalis можуть бути виявлені й у більш пізні строки (на 10–14 день від моменту посіву).
Інкубаційний період захворювання триває 2–7 днів і більше, і весь цей час хворі продовжують бути джерелом інфекції. Крім того, метод досить дорогий, а культуральні системи та умови культивування часто неприпустимі у клінічних умовах, особливо у приватних клініках (Сосновцева О.П., Соф’їн В.С., 1999; Moldwin R.M., 1992).Для розширення можливостей використання культурального методу у клінічній практиці була розроблена технологія пластикових пакетів, яка поєднує техніку нативного препарату та мікрокультур. Також описано різновид методу пластикового пакета — система «в мішку» (inPouch), що являє собою пакет із двома відділеннями, який дозволяє негайно приготувати нативний препарат для безпосереднього мікроскопування в пластиці.Дмитрієв Г.А. (2003), Levi M.H. et al. (1996) встановили, що система «в мішку» як мінімум так само чутлива, як середовище Diamond, а за даними Borchart V.L. et al. (1996) — значно чутливіша, ніж поживне середовище «Trichosel».
Для діагностики урогенітального трихомоніазу запропонована також середа Добелла-Лейдлоу. Недоліками середовища є: необхідність приготування ex tempore, потреба в ретельному взятті матеріалу, недостатність окремих компонентів середовища (зокрема, м’ясопептонного бульйону), складнощі культивування при посіві матеріалу з кров’ю.Garber G.E., Lemchuk-Faval L.T. (1994) використовували клітини Мак Коя для культивування T. vaginalis і показали, що ця методика перевершує за чутливістю культивування на бульйоні та дозволяє виявляти T. vaginalisпри концентрації лише 3–5 клітин у 1 мл інокуляту. Проте клітинну культуру в звичайних умовах не застосовують, оскільки це дорого та неприйнятно для експрес-діагностики.Важливим моментом лабораторної діагностики трихомоніазу є визначення чутливості T. vaginalis до протистоцидних препаратів. Оскільки ріст трихомонад відбувається на рідкому поживному середовищі, ця процедура, головним чином, полягає у титруванні. Методологія детально описана, проте застосовується переважно в рамках наукових досліджень для розробки нових методів лікування.
Проблема полягає не в тому, щоб виділити чисту культуру трихомонад і визначити її чутливість до ліків, а в тому, що наразі в розпорядженні є лише одна група протистоцидних засобів — похідні 5-нітроімідазолів (метронідазол, секнідазол та ін.). У разі встановлення низької чутливості (резистентності) штаму T. vaginalis, клініцист практично не має іншого виходу, як призначення (емпірично) вищої дози препарату (Абдумаліков Р.А., 1995), що не завжди призводить до позитивного лікувального ефекту.Слід зазначити, що визначення чутливості збудника урогенітального трихомоніазу на практиці здійснюється вкрай рідко, і фактично ми не маємо достовірних даних щодо кількості «резистентних» штамів T. vaginalis у різних регіонах України та Росії, як, наприклад, у випадку з гонококовою інфекцією.
За останні роки на українському та російському ринку з’явилося значне число поживних середовищ вітчизняних та зарубіжних виробників для культуральної діагностики трихомоніазу (Дмитрієв Г.А., 2003).
Разом із тим, культуральна діагностика урогенітального трихомоніазу проводиться далеко не у всіх лікувально-профілактичних установах через:
- технічні,
- матеріальні,
- організаційні обмеження (наявність ламінарних боксів, лабораторного посуду, інструментарію та іншого обладнання);
- наявність кваліфікованого персоналу, у тому числі клініцистів, які здійснюють забір матеріалу;
- дотримання стерильності, поточності та інших норм, передбачених санітарними правилами для подібних досліджень.
Ще одним фактором, який перешкоджає широкому застосуванню культуральної діагностики урогенітального трихомоніазу, є її тривалість, що суперечить необхідності раннього виявлення та санації ІППП. Водночас у низці зарубіжних країн (Англія та інші) практикують одночасне мікроскопічне та культуральне дослідження при клініко-лабораторному обстеженні пацієнта з підозрою на ІППП. Це вважається виправданим, оскільки виключає повторний забір матеріалу, підвищує якість діагностики та скорочує терміни обстеження.
Таким чином, культуральна діагностика урогенітального трихомоніазу не втратила своєї актуальності і в комплексі з мікроскопічними дослідженнями повинна широко застосовуватися у клінічній практиці та науково-практичних дослідженнях, зокрема для розробки нових схем впливу на T. vaginalis протистоцидними засобами.Більш детально методологія мікроскопії та культуральної діагностики трихомоніазу висвітлена у діючих Наказах МЗ СРСР №936 та №1570, методичних рекомендаціях, посібниках для лікарів, а також у монографії "Лабораторна діагностика бактеріальних урогенітальних інфекцій" (Г.А. Дмитрієв, 2003).